Семейная стоматология в Спб
8 812 924 24 22
Звоните. Работаем 10:00-20:00
Санкт-Петербург, ул. Вс. Вишневского, 13
м Петроградская
м Чкаловская
за 16 666р в месяц
Элайнеры
*с учетом беспроцентной рассрочки на 12 месяцев
Врач сделает осмотр, расскажет о процедуре установки, составит план лечения, ответит на вопросы
Или звоните по тел:
+7 (812) 924-24-22
Сделайте голливудскую улыбку не выезжая из Санкт-Петербурга
Брекет системы премиум класса
Личный врач на весь период лечения
Фиксированная цена в договоре
Беремся за случаи, когда другие отказывают
Удобное расположение клиники в сердце города
Исправляем прикус и выравниваем зубы с помощью эффективных брекетов или незаметных элайнеров
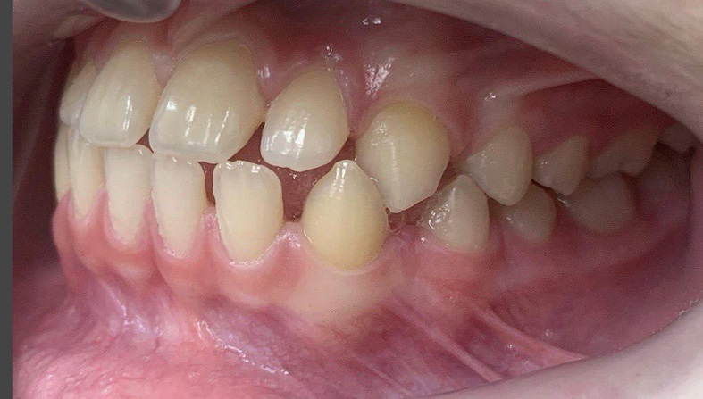
Неправильный прикус
Брекеты часто используются для коррекции различных видов неправильного прикуса, таких как перекрестный, открытый, глубокий и выступающий прикус
Скученность зубов
Если у человека недостаточно места во рту, зубы могут расти криво или накладываться друг на друга. Брекеты помогают выровнять зубы и предотвратить связанные с этим проблемы (например, трудности с чисткой зубов)
Диастема: промежутки между зубами
Брекеты также могут помочь закрыть промежутки между зубами, что улучшает эстетику улыбки и функциональность зубного ряда
Неправильное положение зубов
Брекеты могут корректировать положение отдельных зубов, которые могут расти под неправильным углом или в неправильном направлении
Один визит в клинику приблизит вас к решению проблемы
Запишитесь на бесплатную консультацию, чтобы узнать стоимость «под ключ» и несколько вариантов плана лечения под вашу ситуацию и бюджет
Или звоните по тел:
+7 (812) 924-24-22
Незаметны для окружающих
Абсолютно неощутимы во рту
Съемные
Без боли
Безопасны для эмали
Гипоаллергенны
Легкий уход
Нет кариеса
Не ранят десны
Не влияют на дикцию
Нет ограничений в еде
Flexi Ligner Элайнеры
Элайнеры работают, пока никто не видит!
Незаметны даже при близком контакте
Invisalign Элайнеры
Работаем только с проверенными производителями брекетов и элайнеров
Брекеты Damon сокращают срок лечения за счет концепции активного нивелирования
Комфортные в носке брекеты миниатюрного размера
Выполнены из медицинской нержавеющей стали – они очень прочные, не окисляются, не вызывают неприятного прикуса металла во рту
В два раза больший контроль точности
Damon Q2
Металлические
Полностью прозрачные брекеты
Устойчивы у окрашиванию и не меняют цвет
Легкая процедура смены дуг
Damon clear
Керамические
Сочетают в себе эффективность металлических и эстетику керамических брекетов
На более заметных участках можно установить керамические пластинки, а на незаметных — стальные, тем самым одновременно сохранить эффективность и внешний вид улыбки.
Damon clear
Комбинированные
Что лучше для вас, брекеты или элайнеры?
Узнайте на бесплатной консультации у врача ортодонта
Или звоните по тел:
+7 (812) 924-24-22
Диагностика
Сбор анамнеза, обсуждения всех подробностей лечения, снятие слепков и фото протокол для диагностической модели
Фиксация
Установка брекетов или элайнеров в зависимости от выбранной модели лечения
4 шага до идеальной улыбки, о которой вы мечтали
Коррекция
Корректировка брекетов для их эффективной работы раз в 1 - 1,5 месяца
Завершение лечения
Снятие брекетов и установка ретейнера для предотвращения возвращения зубов в прежнее положение
Без скрытых платежей — укажем полную стоимость в договоре до начала лечения
Damon Q2
Металлические
60 000 ₽
Брекеты
*Цена за одну челюсть
Damon clear
Комбинированные
75 000 ₽
Damon clear
Керамические
85 000 ₽
Элайнеры
Flexi Ligner
400 000 ₽
Invisalign
450 000 ₽
Поэтому специально для вас есть особое предложение от клиники "Формула улыбки"
Мы знаем, что красивые зубы это недешево
Оформляйте рассрочку без переплат
Только изначальная сумма, разделённая на 12 месяцев
Правильное расположение зубов облегчает уход за полостью рта, снижая вероятность развития кариеса и пародонтоза
Вы сможете сэкономить сотни тысяч рублей
на стоматологическом лечении
Равномерное распределение нагрузки помогает защитить эмаль от от истирания
Ваши зубы здоровые
и красивые без
дорогостоящего лечения
Каждому пациенту после установки мы дарим ортодонтический набор и памятку по уходу
Помогаем поддерживать хороший уровень гигиены полости рта
Красивые, ровные зубы уже через 15 - 20 месяцев
Первоначальный дискомфорт является индикатором того, что брекеты или элайнеры начали свою работу. Процесс лечения протекает плавно. Обычно через неделю происходит привыкание к новой каппе или дуге и неприятные ощущения уменьшаются.
Чем дольше процесс лечения, тем меньше риск, что зубы вернутся обратно
После снятия брекетов или элайнеров, адаптационные устройства, такие как ретейнеры и ночные капы, помогут удерживать зубы в их новом положении и предотвратят смещение до окончательного укрепления костной ткани.
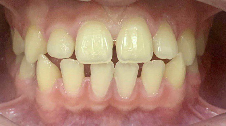
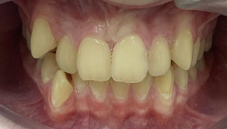
Результаты ортодонтического лечения
После
После
До
До
После
До
После
До
Ваша улыбка в надёжных руках
Бочковская Ольга Олеговна
Опыт работы более 15 лет.
Окончила Первый Санкт-Петербургский государственный медицинский университет им. акад. И.П. Павлова
Имеет сертификаты по лечению на системах Invisalign и FlexiLigner
Ольга Олеговна получила статус Top Doctor Dental Brilliance 2022-2023 от FlexiLigner за большое количество успешно вылеченных пациентов на элайнерах.
Давайте начнем с бесплатной консультации
Или звоните по тел:
+7 (812) 924-24-22
За 15 лет работы мы получили большое количество теплых отзывов от наших клиентов
Наталья П.
В клинике чисто и стерильно - это самый главный показатель качества.
Смотреть полный отзыв
Наталья П.
В клинике чисто и стерильно - это самый главный показатель качества.
Смотреть полный отзыв
Запишитесь на бесплатную консультацию
Оставьте заявку
Поговорить с ведущим врачом
Вы зададите свои вопросы, а врач составит Ваш индивидуальный анамнез
Узнайте о состоянии ваших зубов и получите индивидуальный план лечения в комфортных условиях
На бесплатной консультации Вы сможете:
Пройти визуальный осмотр зубов
Врач визуализирует Вашу полость рта и проведет визуальную диагностику всей полости рта
Получить план лечения
по имплантации зубов
Поэтапный план работ и лечения в Вашем конкретном случае с сроками и стоимостью работ
Семейная стоматология в Спб
Санкт-Петербург, ул. Вс. Вишневского, 13
8 812 924-24-22
Звоните. Работаем 9:00-20:00
Запишитесь на бесплатную консультацию
Узнайте о состоянии ваших зубов и получите индивидуальный план лечения в комфортных условиях.

Вы зададите свои вопросы, а врач составит Ваш индивидуальный анамнез, проведет визуальную диагностику всей полости рта, составит поэтапный план работ и лечения со сроками и стоимостью работ
Или звоните по тел:
+7 (812) 924-24-22
Оставьте номер телефон
Мы перезвоним
Или звоните по тел:
+7 (812) 924-24-22
Made on
Tilda